Maybe your periods have always been irregular. Or they’ve stopped completely. Maybe it’s the acne that persists well beyond the teenage years, or hair growing in places it never used to, while thinning where it shouldn’t. Maybe you’ve noticed weight changes that are hard to explain. Or even harder to shift.
You might have heard of PCOS. You may even have been told you “might” have it. But knowing for sure, and knowing what to do about it, is often less straightforward.

Polycystic Ovary Syndrome (PCOS) is a hormonal condition that affects up to 1 in 10 women. It’s often misunderstood and often missed because the symptoms can be subtle, disconnected, or simply brushed off.
At its core, PCOS is a hormonal imbalance that can result in polycystic ovaries, higher testosterone levels, and irregular ovulation. It can affect:
A diagnosis isn’t just about a label. It can bring relief, direction, and allow you to move forward with a plan that actually fits
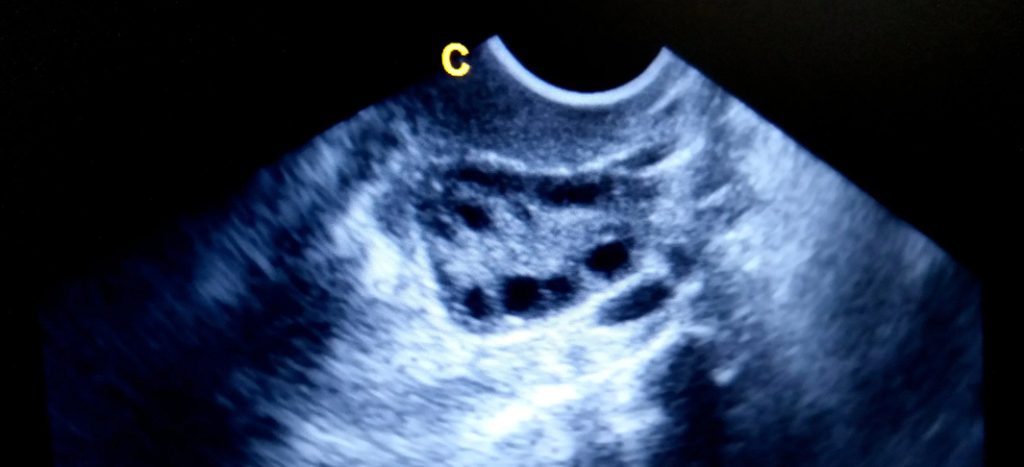
Sometimes PCOS diagnosis is clear. But more often it takes time, consideration, and careful interpretation of results. You don’t need to have cysts on your ovaries to have PCOS, and yet not everyone with cysts has PCOS. What matters more is the broader picture of your cycles, hormones, and symptoms.
Assessment may include:

For many women affected by PCOS, often the attention is on those immediately noticeable symptoms – your hair, your skin, your weight, and your irregular periods. But once you start trying to conceive, you may realise that PCOS can have profound effects on your fertility, too.
PCOS and infertility do not necessarily go hand-in-hand; it is very possible to live with PCOS and fall pregnant naturally, proceeding to have a successful live birth. However, falling pregnant with PCOS is often more challenging compared to women not affected by this condition.
Infertility is more common among women with PCOS because:
Many women with PCOS find their fertility improves after making targeted lifestyle changes, with the help of their GP, dieticians, and exercise coaches. If you are still having difficulty conceiving, Dr Tan can offer medical assistance, including ovulation induction, intrauterine insemination (IUI) or IVF. The good news is that with the assistance of reproductive technology such as IVF, women with PCOS achieve equal fertility success to those without. You can read more about IVF outcomes in women living with PCOS in this paper authored by Dr Tan.
Since PCOS looks different for everyone, so too should your care. Whether that’s balancing hormones, regulating periods, managing symptoms, or supporting fertility.
Treatment options may include:
Dr I-Ferne Tan is a Sydney-based gynaecologist with special interest in managing hormonal and menstrual conditions like PCOS. She brings together medical expertise and experience with the latest in research and innovative treatments. But what patients value most is her ability to see the person behind the symptoms. She will take the time to listen, explain, and guide you to make sense of your symptoms in a way that feels clear and manageable.
